| CT引导下精准穿刺引流,小创口解决患者大问题 |
| |
点击数: 添加日期:2022年08月01日 |
近日,我院介入与血管外科为一位20岁的急性重症坏死性胰腺炎患者成功开展CT引导下胰周积液穿刺引流,有效控制了腹腔感染。
此前重症医学科收治的这位年轻患者,入院后很快出现胸腔积液、呼吸衰竭、腹腔感染、胃肠功能障碍等情况,经历了半个月的救治后,患者渐渐度过了器官功能障碍期,但仍有腹胀症状。ICU医生复查发现,患者腹盆腔积液较前明显增多,积液位置较深,穿刺引流存在较大的出血风险,还有可能损伤临近器官组织。但不及时穿刺引流,患者腹腔感染情况就无法控制,胃肠功能也难以恢复。
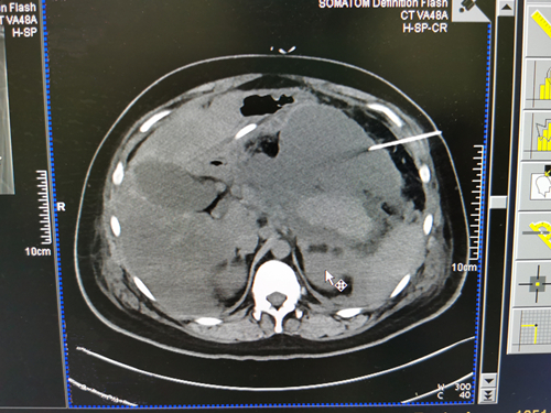
接到会诊,介入与血管外科王卫国主任、戴正行副主任仔细评估了患者病情,查看CT后发现患者腹腔存在多处包裹性积液,其中胰周积液为主。王卫国主任表示,虽然风险很大,但通过CT引导下进行精准穿刺,可大大降低风险,最终决定开展CT引导下穿刺置管引流。

在进行穿刺前行定位CT时,戴正行主任指导患者摆正体位。完成定位CT后,王卫国主任在预定位置进行局部麻醉,保留穿刺针,复查位置良好后,再换用穿刺针带负压沿引导位置穿刺进入积液区,抽出棕褐色坏死性积液,再次复查发现导丝到达预定位置,沿导丝置入猪尾型导管,接引流袋后可见引流液流出,最后复查CT见导管头位于胰头位置,引流通畅。左右侧腹腔积液均采用该方法穿刺引流,引流效果良好。

王卫国主任表示,“CT引导下穿刺最重要的是精准定位,鉴别靶目标穿刺周围的重要血管及脏器,只有找到准确的位置,合适穿刺路径,才能将穿刺损伤降到最小,达到引流目的。”
据悉,CT引导下穿刺引流技术目前已在我院成熟开展。此外,介入与血管外科还常规开展经皮肺穿刺、肝穿刺、恶性肿瘤射频消融等技术。针对多种出血性疾病的抢救治疗,介入与血管外科与相关科室的密切协作,形成规范化的救治流程,更好地减轻患者痛苦,造福更多的患者。(图文/王卫国 车磊 编辑/孙炜 审核/杨居艳) |
|
|
|
|
| |