近日,我院普外科肝胆组在多学科支持下,顺利完成了一例高龄患者巨脾切除手术。该病例较为少见,切除后的标本脾脏重达4500g,打破我院巨脾切除的最大记录。
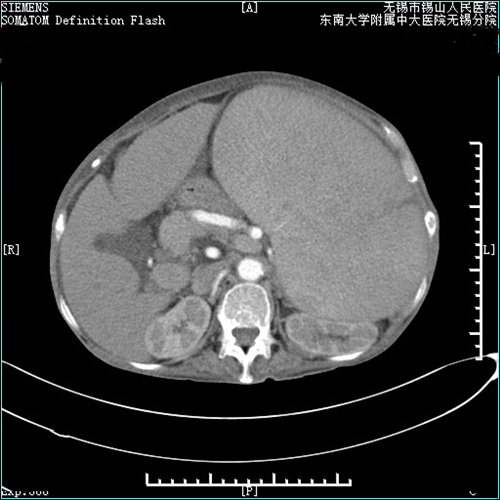
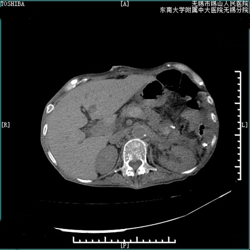
74岁张阿姨患有血吸虫肝病40余年,高血压20余年。多年的血吸虫肝病,引发了进行性门脉高压,导致其脾脏肿大。随着时间的推移,张阿姨的腹部逐渐隆起,近期已经增大如怀孕7个月的“孕妇”,严重影响生活。她辗转省内外多家医院求医,均不建议手术治疗,予以保守治疗。
一月前,张阿姨皮肤黏膜多处瘀点瘀斑,牙龈出血,食纳下降,明显消瘦,并伴有口腔黏膜溃烂等症状。张阿姨在家人的陪同下来院就诊。血液肿瘤科主任张世强和副主任强金虎接诊后,将张阿姨收住入院,进一步检查后发现,张阿姨一度被外院诊断为“骨髓增生异常综合征(MDS)”,这一诊断引起了肿瘤血液科张世强主任和强金虎的注意。肿瘤血液科医疗团队组织了心内科、消化内科、肝胆外科、血管介入科、影像科等部门,开展MDT多学科会诊。结合患者的血液学、影像学等检查结果,普外科副主任兼肝胆外科副主任赵万文考虑患者为血吸虫肝病后的脾功能亢进,进行性导致脾大(Ⅲ度肿大),引起血液系统的明显改变(类白血病现象)。

考虑到患者年龄大,身体极度消瘦,血液系统表现为类白血病现象,保守药物治疗并不能使患者获益。赵万文主任建议采用外科手术治疗,从根本上解决问题。长期慢性病的影响,患者心肺功能、凝血功能和循环血容量异常,患者接受手术治疗的风险巨大。经过与家属积极沟通后,患者接受了外科手术的治疗方案。
随后,张阿姨转到了肝胆外科,开始完善术前准备。普外科医疗团队组织了科内疑难病重病理讨论。顾盐炎主任解析了血吸虫肝病的相关知识,针对患者病因、病情、诊断、影像资料、治疗策略等多方面进行分析指导,制定了周密的手术方案。


手术当天,在麻醉科王亚军顾问、孙兴兵主任、薛红鹰主治医师等麻醉医生的全力支持下,赵万文主任带领肝胆外科医疗团队为患者全麻下实施了巨脾切除术。经过主刀医生谨慎游离,仔细结扎,顺利将巨大脾脏完整地从患者体内“搬了出来”,一过秤足有9斤。
手术后,患者一度经历了多项术后并发症的威胁,白细胞一度超出正常值的25倍、心脏功能衰竭、呼吸衰竭、重度低蛋白血症、大量腹水。这一阶段,在血液科张世强主任、强金虎副主任和心内科朱晓明副主任全力协助下,采取了积极的治疗,使患者逐渐渡过了危险期,各项指标逐渐趋向平稳,近期顺利康复出院。
张阿姨出院前感慨:“我真心感谢锡山人民医院的医生护士们,让我再次燃起了生活的希望!”为了表达对医院的感谢,张阿姨的儿女特意送来了两面锦旗。


据悉,此次普外科开展的巨大脾切除术离不开各部门的通力协作。在做好常态化疫情防控工作的同时,普外科医护团队不断提升疑难重症的诊治水平,为锡东群众身体健康保驾护航。(图文/陈超波 编辑/孙炜 审核/杨居艳) |