| 弹性髓内钉微创技术,小儿骨折患者的福音 |
| |
点击数: 添加日期:2021年04月06日 |
近日,我院骨科采用弹性髓内钉微创技术,对一位11岁的前臂双骨折儿童开展了左尺桡骨干骨折闭合复位内固定术。术后患儿恢复良好,已顺利出院。
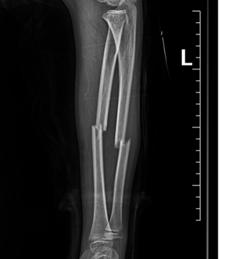
11岁的小豪在学校不慎摔倒,当左前臂剧烈疼痛,不能活动,被紧急送往我院急诊科。结合病史、体征及影像学表现,骨科张栋医师诊断患儿为左前臂尺桡骨双骨折,断端错位,亟需住院手术治疗。

术前,针对该患儿,骨科开展了详细的术前讨论。骨科顾军主任指出,儿童骨折不是成人缩小版,治疗方案不能照搬成人。对于儿童前臂尺桡骨双骨折,传统手法复位石膏固定的保守治疗方法,存在复位不满意、复位失败、骨折再移位等可能,远期会影响儿童前臂旋转功能。而钢板内固定,需要较大的切口,手术创伤大,并发症多,同时会在手臂上留下较长的疤痕,影响外观。微创弹性髓内钉固定术具有创伤小,痛苦少,恢复快等优点,成为此次病例的首选治疗方案。
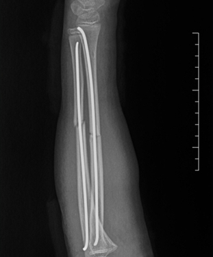
完善术前准备后,在麻醉科的配合下,周欣、冯晓军副主任医师为患儿实施了左尺桡骨骨折闭合复位弹性髓内钉内固定术。利用手臂上2个仅1cm的小切口就顺利完成了手术。术后,患儿复查X线,效果良好,患者家属对此感到满意,感谢连连。

据周欣副主任医师介绍:儿童常见的骨折有股骨干骨折、胫骨骨折、尺桡骨双骨折等,针对这类长管状骨骨折,可使用弹性髓内钉这一微创技术,对儿童的骨骼发育影响小。由于儿童骨折愈合较快,4-6个月即可取出内固定。
弹性髓内钉技术被国外专家称为“上帝送给儿童的礼物”,该技术可以在保护骺板不受损的前提下,利用三点固定原理,微创治疗儿童四肢骨折,实现了患儿家长痛苦少、疤痕小的愿望。目前我院已常规开展此类手术。(图文/浦梦安 编辑/孙炜 审核/杨居艳) |
|
|
|
|
| |