| 膝关节单髁置换术,解决关节疼痛大问题 |
| |
点击数: 添加日期:2021年03月09日 |
近日,我院骨科医疗团队为一名60岁的膝关节炎患者成功实施了膝关节单髁置换术。术后患者恢复良好,目前已顺利出院。该手术的成功开展,将进一步推动我院骨科朝着微创化、个体化、精准化方向探索前进。
困扰患者朱先生的右膝关节疼痛已有3年,严重影响到他正常行走。在我院骨科门诊,骨科副主任倪英杰结合相关检查,明确诊断为“右膝关节单间室骨关节炎”,立即安排他入院手术治疗。

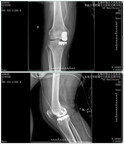
术前,倪英杰主任在科内组织了术前讨论,针对患者的病情制定了个性化手术方案。该患者右侧膝关节为内侧间室病变,而外侧间室、交叉韧带等结构相对较好,选择什么样的术式直接决定患者术后的生活质量。针对该疾病,此前骨科采用的全膝关节置换术,需将整个膝关节的关节面进行截骨,切除过多正常的骨质、交叉韧带和半月板,创伤较大。结合患者年龄、症状、体征及术前影像学检查等,骨科医疗团队最终决定为患者实施技术难度更大的膝关节单髁置换术。
术中,在东南大学附属中大医院王宸教授的指下,倪英杰主任主刀,马颜主治医师、张栋医师配合,仅用时1小时,成功为患者实施了右膝关节单髁置换术。在骨科医护人员的指导下,术后当天患者卧床即行股四头肌等长收缩练习及膝关节屈伸练习,第二天患者就可以下床负重行走,疼痛感消失,术后恢复良好。手术良好的效果也得到患者和家属的连连称赞。

据骨科副主任倪英杰介绍,骨和关节组织会随着年龄的增长发生退行变化,尤其好发于承重的关节和多活动的关节。此次开展的膝关节单髁置换术是相对全膝关节置换术而言的一种新型微创手术,只置换病损部位,对膝关节内侧或外侧间室进行表面置换,用以替代膝关节股、胫关节损坏的软骨表面,该技术不需要去除前后交叉韧带,最大限度的保留了患者的本体感觉和关节功能。与传统传统手术相比,该手术切口小,患者承受的痛苦小,有利于术后关节功能的快速恢复。(图文/张栋 编辑/孙炜 审核/杨居艳) |
|
|
|
|
| |