近日,我院介入与血管外科及时挽救了两名重症患者。一人患肝肿瘤破裂、一人失血性休克,均恢复良好,已顺利出院。
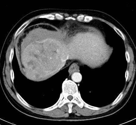
58岁的马先生(化名)凌晨突发腹痛来院就诊。CT 示患者肝右叶多发病变,B超示腹腔内大量积液,接诊医生考虑患者为肝癌伴破裂。此时患者已失血性休克。在开放四条静脉通路,连续快速补液2000-3000ml的情况下,患者血压仍只有90/60mmHg。患者被迅速送往手术室开展治疗。
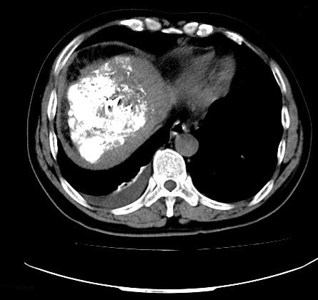
术中介入与血管外科王卫国主任、戴正行副主任当机立断,在局麻观察下行肝动脉造影和栓塞术,经过一个多小时的努力,终于止住了出血,患者的生命体征渐趋平稳。


此前,59岁的方女士(化名)因腹痛加剧来院就诊。入院时,患者血压仅仅90/40mmHg。经过仔细检查,接诊医生诊断其为肝癌破裂伴失血性休克。凭借丰富的临床经验和精湛的技术,介入与血管外科团队为其实施了肝动脉造影+栓塞术,成功止血。术后未出现穿刺点出血血肿、肝功能衰竭、消化道大出血、肝动脉栓塞后综合征等并发症,治疗效果显著。
据介入与血管外科王卫国主任介绍,肝癌自发破裂出血是一种少见、致命的并发症,疾病复发和发展迅速,死亡率高,必须采取积极有效的治疗,改善患者预后。目前针对肝癌破裂出血的各种治疗方案已经在临床得到广泛实施,主要包括保守治疗、肝动脉栓塞或肝动脉化疗栓塞、外科止血以及急诊或分步肝切除术。尽管急诊肝切除术可以通过一次手术治疗同时达到止血及切除肿瘤的目标,但急诊外科切除指征严格,仅适用于少数患者,且术后的并发症发生率和早期病死率相对较高。肝动脉化疗栓塞术作为姑息性的肿瘤治疗方式,较单纯保守治疗及外科止血治疗,能明显延长患者的生存期。
此次介入与血管外科先后成功抢救两名失血性休克的肿瘤患者,充分展现了我院介入与血管外科专科技术的成熟以及应对急危重患者的救治能力。今后,介入血管外科将一如既往,为更多患者保驾护航。
地址: 无锡市锡山区安镇街道大成路1128号(大成路与锡东大道交叉口)
电话: 0510-82402084
邮编: 214105