近日,我院泌尿外科连续成功完成两例腹膜后功能性肾上腺肿瘤切除术,患者术后各项指标恢复正常,目前均已康复出院。
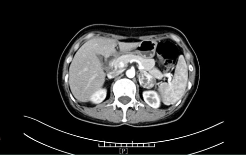
45岁的王女士(化名)常规体检行胸部CT检查,发现左肾上腺区占位。入院增强CT检查提示患者左侧肾上腺区占位性病变,动脉期明显强化。通过细致问诊和查体,泌尿外科何晓亮主任考虑其为嗜铬细胞瘤可能较大,并耐心地向患者及家属告之病情。考虑到该手术难度高,风险极大,术前准备时间长,泌尿外科组织开展了肾上腺肿瘤MDT,积极研讨病情,制定了完善的诊疗方案。经过充分术前准备,患者各方面指标均趋于平稳,何主任团队决定为其安排手术,摘除这颗困扰王女士的“定时炸弹”。

在手术室麻醉、护理团队的保驾护航下,手术有条不紊地开展。为减少术中血压和心率的大幅度波动,何主任阻断肾上腺中央静脉,术中操作轻柔、分离仔细、解剖清晰、结扎准确。整个手术过程犹如“抽丝剥茧”,肿瘤连同包膜被完整切除,术中几乎没有出血,顺利完成。手术顺利得益于术前的充分扩容及术中麻醉精准控制,患者术中血压、心率几乎没有剧烈波动,最大程度保证了患者的血流动力学的稳定。

在顺利完成肾上腺嗜铬细胞瘤切除术后,日前,泌尿外科团队又成功完成一例功能性左肾上腺肿瘤切除术,为一位库欣综合征患者解除病痛。
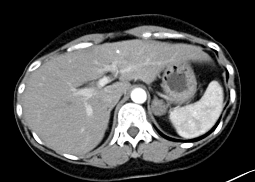
患者周女士(化名),因“左腰部酸胀不适4月”入院治疗。CT检查发现,患者左肾上腺占位性病变,进一步检查发现患者促肾上腺皮质激素(ACTH)被抑制,皮质醇节律消失。内分泌科会诊后行小剂量地塞米松试验检查后,初步考虑为库欣综合征。通过介入与血管外科团队肾上腺静脉采血(AVS)后,最终确诊患者为左肾上腺肿瘤导致的库欣综合征。经过充分术前准备,泌尿外科何晓亮团队成功为患者摘除了功能性肾上腺肿瘤。

据何晓亮主任介绍,肾上腺是人体内最重要的内分泌腺体之一,它分泌多种激素,是维持人体生命体征的重要内分泌腺体。嗜铬细胞瘤是起源于肾上腺髓质嗜铬细胞的肿瘤,是一种较为少见的具有内分泌活性的肿瘤。它能够合成、代谢儿茶酚胺类激素(包括肾上腺素、去甲肾上腺素、多巴胺),此类激素可以引起小动脉收缩,导致血压升高。典型的症状表现为发作性头痛、心悸和多汗等。该疾病围手术期死亡率高,因此,嗜铬细胞瘤是一种非常危险的肿瘤,它就像一个定时炸弹,血压的骤然变化极有可能引发心脑血管意外,危及生命。手术是治疗该疾病的最佳治疗手段。
皮质醇是肾上腺皮质所分泌的人体必需的重要激素,当皮质醇缺乏或异常增高时会引起各种不适症状,严重时甚至危及生命。库欣综合征患者中,有一大类是由肾上腺皮质腺瘤引起。异常增高的皮质醇会引起全身各个器官、系统的病变,导致满月脸、面部痤疮、水牛背、腹部异常肥胖、腹部皮肤大量紫纹、高血压、糖尿病、骨质疏松等一系列症状,给患者带来莫大的痛苦。目前,手术切除肾上腺肿瘤是治疗此类库欣综合征最有效的方法,但是盲目切除肾上腺病灶,则有可能无法缓解病情。因此,在该疾病的治疗过程中,还须先开展AVS静脉采血检查明确病因,再开展手术治疗,方可取得较好的治疗效果。
AVS是运用导管穿刺静脉选择性插入肾上腺中央静脉后采集血样,检测肾上腺分泌激素判断其功能情况。由于其技术难度高、风险高,国内少有医院常规开展,我院在介入科的成熟技术下常规开展AVS来判别肾上腺及其腺瘤有无功能。
此次泌尿外科先后开展的功能性肾上腺肿物手术,充分展示了我院泌尿外科在处理复杂性疾病方面过硬的综合实力,同时也充分提现多学科诊疗的巨大优势。今后,泌尿外科将持续推进MDT诊疗,探索专病诊疗模式,为百姓健康保驾护航。(图文/顾鹏 编辑/孙炜 审核/杨居艳)
地址: 无锡市锡山区安镇街道大成路1128号(大成路与锡东大道交叉口)
电话: 0510-82402084
邮编: 214105